センター北駅前歯科の矯正歯科
目立ちにくく
きれいな歯並び
素敵な笑顔
- 無料で
治療結果を
シミュレーション - 大人も子供
も対応
目立ちにくく
きれいな歯並び
素敵な笑顔


このようなお悩みは
ありませんか?
年間100件の矯正の実績、
院内でも矯正装置を作成
無料で、3Dシミュレーションで
治療後を具体的にイメージ
高額な治療が
最適ではありません。
患者さまに合う計画を提示します。


インビザライン以外にも、マウスピース型の矯正装置はいくつか存在します。どれもほぼ同じシステムなのですが、1点、他の装置と大きく違うことがあります。
それは、「患者様の負担度合い」です。
マウスピースを作成するため、治療開始時に歯型を採るのですが、インビザラインの場合、基本的に1回歯型を採って(もし、ズレが発生しても2~3回)、3次元画像化技術とCAD/CAM技術により各ステージのマウスピースをまとめて作製しお渡しします。
そのため来院回数(6~8週間に1回のペース)を減らすことができます。
インビザライン以外のシステムの場合、約2~3週間のペースで来院し、その都度、歯型を採り、新しいマウスピースを作製する必要がありますので、患者様にはそれなりの負担となります。
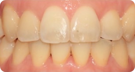
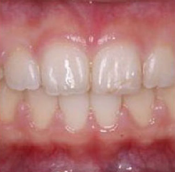
Before
After| 治療内容 | 成人インビザライン矯正 |
|---|---|
| 治療期間 | 1年半〜2年半 |
| 治療費 | 85万円(税抜) |
| 治療のリスク | 歯の移動に伴う知覚過敏、歯肉退縮、歯髄炎を起こす可能性があります。 |





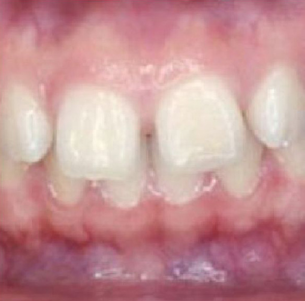
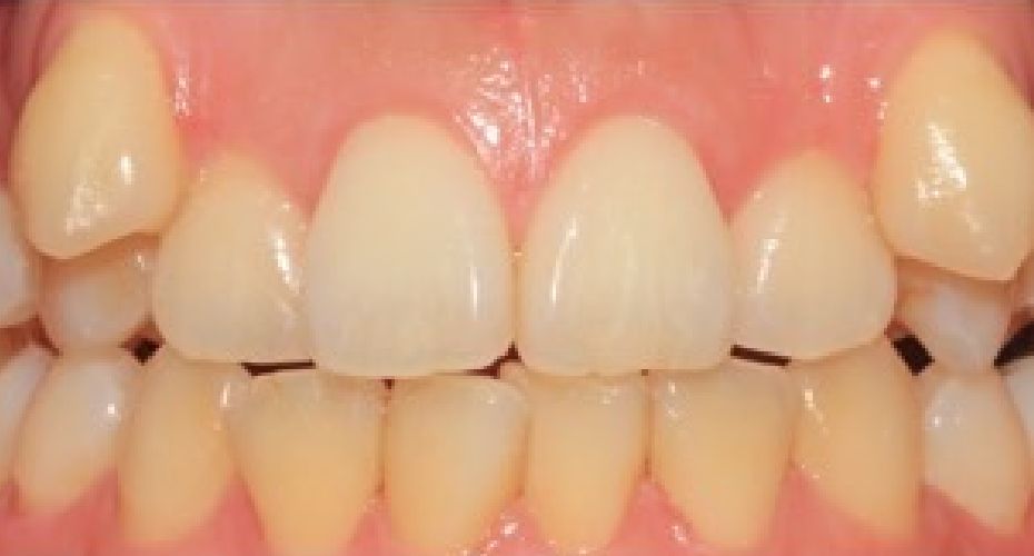
Before
After| 治療内容 | 部分矯正 |
|---|---|
| 治療期間 | 6〜9ヶ月 |
| 治療費 | 約30万円(税抜) |
| 治療のリスク | 治療の初期段階では痛みや不快感が生じやすくなりますが、1週間前後で慣れます。 |
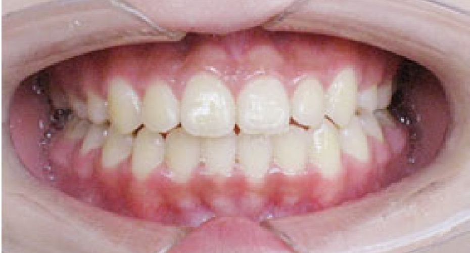
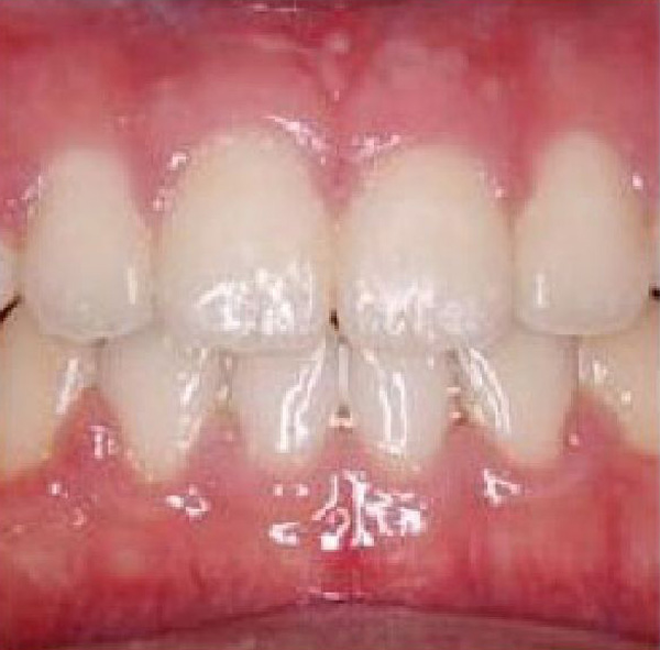
Before
After| 治療内容 | 部分矯正 |
|---|---|
| 治療期間 | 6〜9ヶ月 |
| 治療費 | 約30万円(税抜) |
| 治療のリスク | 治療の初期段階では痛みや不快感が生じやすくなりますが、1週間前後で慣れます。 |

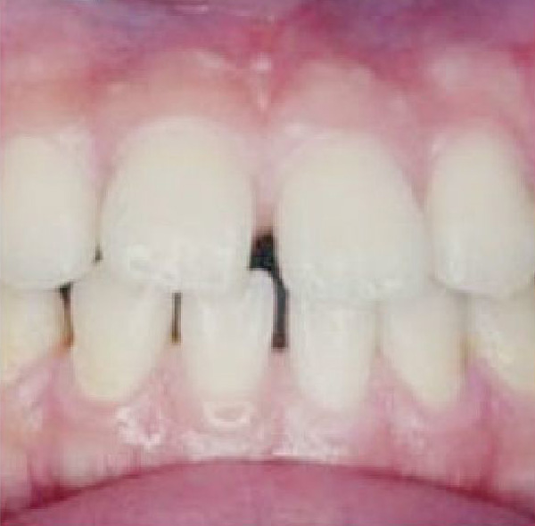
Before
After| 治療内容 | 小児矯正 |
|---|---|
| 治療期間 | 1年 その後は生え変わりを見ながら、必要があれば再度介入していきます。 |
| 治療費 | 約60万円(税抜) |
| 治療のリスク | 矯正施術中では痛みが生じる事がありますが、1週間前後で慣れます。 |

よく歯列矯正の治療開始時期について質問を受けるのですが、一般的には小学校低学年が良い時期と言われています。
ただ、治療開始時期は、お子さんの状態によって違います。治療するしないにかかわらず、まずは当院までご相談ください。適切な時期をご提案させて頂きます。
| 相談 |
|---|
| 無料 |
| 成人矯正 | |
|---|---|
| インビザライン | ¥850,000 |
| 部分矯正 | ¥250,000 ~¥450,000 |
| 部分矯正(裏側) | ¥250,000~ |
| 全顎矯正(表側) | ¥850,000 |
| 全顎矯正(裏側) | ¥1,000,000 |
| 全顎矯正(裏側) +インビザライン |
¥1,200,0006〜12回まで分割可能 (デンタルローン使用時は84回まで分割可能) |
| 小児矯正 | |
|---|---|
| インビザライン | ¥700,000 |
| インハウスアライナー 予防矯正 |
¥400,000 |
| プレオルソ | ¥100,000 |